|
Successful cranio-cervical fusion in a patient with Down syndrome
C.S. Johnson a, D.N. Wilson b,*, R.J. Mobbs a
aPrince of Wales Hospital, Barker Street, Randwick, Sydney, New South Wales, Australia
bRoyal North Shore Hospital, Reserve Road, St Leonards, Sydney, New South Wales, Australia
Abstract
We present a patient with Down syndrome with neck pain and severe cervical myelopathy. Imaging
revealed occipito-atlantal and atlanto-axial instability with severe spinal cord compression. There are
no standardized radiological or clinical guidelines to aid in managing this unique subset of patients.
We demonstrate a successful occiput–C3 internal fixation and fusion without complication. Due to the
largely unknown natural history and ongoing management difficulties in this population, we demonstrate
a case that may aid future decision making for this specialized field. We also discuss an approach
to reduce this deformity, which, to our knowledge, has not been published before.
2012 Published by Elsevier Ltd.
ARTICLE INFO
Article history:
Received 12 September 2011
Accepted 3 March 2012
Keywords:
Cranio-cervical fusion
Cranio-cervical instability
Cranio-vertebral junction
Down syndrome
1. Introduction
Down syndrome is the most common human chromosomal
abnormality, and has been associated with myelopathy from craniovertebral
instability. It is felt that symptomatic patients should
be offered surgical stabilization. This report demonstrates a successful
surgical approach in a young female with myelopathy and
instability.
2. Case report
A 14-year-old female patient with Down syndrome presented
with a 2-year history of neck pain; progressive ataxia; limb weakness
and in coordination. Clinically she had minimal neck rotation,
was hyperreflexic with sustained clonus, and had mild limb weakness.
Lateral cervical radiographs showed occipito-atlantal and atlanto-
axial subluxation. Subsequent investigations confirmed
subluxation of C1/2 with an atlanto-dens interval (ADI) of 10 mm
and vertical subluxation of the odontoid process, and subluxation
of occiput/C1, with foramen magnum and spinal canal narrowing
(Fig. 1). MRI confirmed myelomalacia.
The patient underwent a 7-hour occiput–C3 internal fixation
and fusion. Through a suboccipital approach, internal fixation was
achieved with C1 lateral mass, C2 pars and C3 lateral mass screws,
including an occipital plate and rod with iliac crest bone graft bilaterally.
Subtraction osteotomy of the C2 pars was performed to reduce
the lateral mass of C1 onto the superior facet of C2 (Fig. 2).
An iliac crest bone graft with tricalcium phosphate was used.
Immobilization in a Miami-J orthosis for 3 months was used postoperatively.
CT scans showed solid fusion at 6 months (Fig. 3).
3. Discussion
The etiology of craniovertebral abnormalities is diverse and
can be a result of acquired, traumatic or inflammatory causes.
It is associated with achondroplasia, mucopolysaccaridosis, and
Klippel Feil syndrome1 Craniovertebral abnormality has been
associated with Down syndrome since first described in 1961.2
The natural history is poorly understood, but the consensus is
that the instability is chronic and progressive.3 The variety of abnormalities includes atlanto-axial subluxation, occipito-atlantal
instability and os odontoideum. Neurological sequelae, through
sudden or progressive neurological deficit, has raised interest
since the special olympics ruling for mandatory cervical spine
imaging in Down syndrome athletes participating in ‘‘high risk’’
sporting activities.4,5
There is no standardized link between radiological instability
and patient symptomatology, and longitudinal studies have been
unable to predict patient outcomes.5,6 Studies have shown atlanto-
axial instability (AAI) present in 10% to 30% of this population,
yet only 1% to 2% of this population show signs of neurological
compromise.5 Tredwell et al.7 report occipito-cervical hypermobility
in 60% of patients with Down syndrome; however, no patient
showed signs of neurological compromise.
Early studies into craniovertebral instability assessed AAI, with
ligamentous laxity and odontoid process abnormalities. Konttinen8
showed that patients with anterior atlanto-axial subluxation from
transverse ligament rupture displayed mild myelopathy only,
whereas alar ligament disruption leads to disruption of C1/2 facet
joints and vertical subluxation of the odontoid process causing
progressive neurological deficit.
Recent studies highlight abnormal bony anatomy in patients
with Down syndrome as a factor in progressive myelopathy.
Taggard et al.,9 and more recently Matsunaga et al.,10 demonstrated
C1 hypoplasia as a factor in progressive cervical myelopathy
in these patients. Furthermore, in this study the difference
in ADI was not statistically significant between patients with
Down syndrome and controls, whereas hypoplasia of C1 was,
suggesting bony abnormalities of the craniovertebral skeleton
in patients with Down syndrome are more significant risk factors
for progressive neurological deficit than appreciated
previously.
Studies published on outcomes of stabilization are few and, in
earlier years, advocated extreme caution. Doyle et al.4 reported a
73% complication rate in 15 patients with Down syndrome who
underwent posterior cervical fusion for AAI, with 40% requiring
reoperation. They achieved fusion in 80%, but only a 20% symptomatic
improvement. These findings were supported by Segal et al.,
who found a 100% complication rate with surgery.11
The evolution of cervical instrumentation has improved surgical
outcomes and more recent reviews show fusion rates as high as
58% to 95%.3 In addition, as in our patient, surgical stabilisation
was achieved without fixed external immobilisation.
Our patient highlights the successful treatment of a young female
patient with severe progressive cervical myelopathy due to significant ligamentous disruption coupled with bony
abnormality.

Fig. 1. Pre-operative images of a patient with Down syndrome: (A) axial CT scan at
the level of the occiput/C1 demonstrating the odontoid peg migrating into the
foramen magnum; (B) sagittal CT scan demonstrating C1 subluxation on C2 with
migration of the odontoid peg into the brainstem; and (C) sagittal T2-weighted MRI
demonstrating anterior subluxation of the occiput on C1 by 5 mm, anterior
subluxation of C1 on C2 by 11 mm, and severe canal stenosis.

Fig. 2. Diagram representing a C2 subtraction osteotomy. The technique involves
(A) an osteotomy of the superior aspect of the C2 pars and superior articular facet;
and (B) the subtraction technique provides space to perform a reduction manoeuvre
of the C1 lateral mass posteriorly to realign the C1/2 articulation.

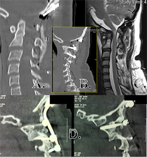
Fig. 3. Post-operative images of a patient with Down syndrome: (A) mid-sagittal CT
scans demonstrating occipital plate and reduction of occipital–C1 subluxation; (B)
para-sagittal CT scans demonstrating lateral mass screw placement in C1–3; (C) T2-
weighted MRI demonstrating improvement in the degree of canal stenosis at the
occipital–cervical junction; and (D) para-sagittal CT scan at 6 months demonstrating
solid fusion.
4. Conclusion
Patients with Down syndrome with symptomatic cervical myelopathy
from craniovertebral instability pose a difficult subgroup
of patients to manage surgically. Our patient highlights successful
posterior occipito–cervical fusion, without complication or fixed
post-operative external immobilization. Secondary to issues of
compliance, safety and operative risk associated with this subset
of patients, and a poor understanding of the natural history of
the pathology, we advocate careful consideration of each case,
and ongoing contributions of case series to the literature.
References
- Crockard HA, Stevens JM. Craniovertebral junction anomalies in inherited
disorders: part of the syndrome or caused by the disorder? Eur J Pediatr
1995;154:504–12.
- Spitzer R, Rabinowitch JY, Wybar KC. A study of the abnormalities of the skull,
teeth and lenses in mongolism. Can Med Assoc J 1961;84:567–672.
- Menezes AH. Specific entities affecting the craniocervical region: Down’s
syndrome. Childs Nerv Syst 2008;24:1165–8.
- Doyle JS, Lauerman WC, Wood KB, et al. Complications and long-term outcome
of upper cervical spine arthrodesis in patients with Down syndrome. Spine
1996;21:1223–31.
- Pizzutillo PD, Herman MJ. Cervical spine issues in Down syndrome. J Pediatr
Orthop 2005;25:253–9.
- Morton RE, Khan MA, Murray-Leslie C, et al. Atlantoaxial instability in Down’s
syndrome: a five-year follow-up study. Arch Dis Child 1995;72:115–9.
- Tredwell SJ, Newman DE, Lockith G. Instability of the upper cervical spine in
Down syndrome. J Pediatr Orthop 1990;10:602–6.
- Konttinen Y, Santavirta S. Atlantoaxial instability in Down’s syndrome. Br Med J
(Clin Res Ed) 1987;294:1549.
- Taggard DA, Menezes AH, Ryken TC. Treatment of Down syndrome-associated
craniovertebral junction abnormalities. J Neurosurg 2000;93(Suppl. 2):205–13.
- Matsunaga S, Imakiire T, Koga H, et al. Occult spinal canal stenosis due to C1-
hypoplasia in children with Down syndrome. J Neurosurg (6 Suppl Pediatr)
2007;107: 457–9.
- Segal LE, Drummond DS, Zanotti RM, et al. Complications of posterior
arthrodesis of the cervical spine in patients who have Down syndrome. J
Bone Joint Surg (Am) 1991;73:1547–54.
* Corresponding author. Postal address: 14 Lawson Street, Bondi Junction,
Sydney, New South Wales, 2022, Australia. Fax: +61 2 8382 2531.
E-mail addresses: cjoh65796@gmp.usyd.edu.au (C.S. Johnson), davidnwilson@
hotmail.com (D.N. Wilson).
Successful cranio-cervical fusion in a patient with Down syndrome
You will need the Adobe Reader to view and print the above documents. 
|